Stereotaktik Biyopsi Nedir ve Nasıl Yapılır?
Stereotaktik biyopsi, derin dokuların incelenmesi için kullanılan minimal invaziv bir yöntemdir. Görüntüleme teknikleriyle hedef bölgeye hassas bir şekilde ulaşarak tanı koymayı ve tedavi süreçlerini yönlendirmeyi sağlar. Bu prosedür, genellikle meme, beyin ve iç organlar için tercih edilir.
Stereotaktik Biyopsi Nedir Ve Nasıl Yapılır?Stereotaktik biyopsi, belirli bir bölgede bulunan dokunun incelenmesi amacıyla kullanılan minimal invaziv bir prosedürdür. Genellikle meme, beyin veya diğer iç organlar gibi derin alanlara ulaşmayı amaçlar. Bu biyopsi türü, görüntüleme teknikleri kullanarak hedef bölgeye hassas bir şekilde ulaşmayı sağlar ve bu sayede daha az invaziv bir yaklaşım sunar. Stereotaktik Biyopsinin AmaçlarıStereotaktik biyopsinin başlıca amaçları şunlardır:
Stereotaktik Biyopsinin Kullanım Alanları Stereotaktik biyopsi, çeşitli tıbbi durumlarda kullanılabilmektedir:
Stereotaktik Biyopsi Nasıl Yapılır? Stereotaktik biyopsi işlemi, birkaç aşamadan oluşur:
Hazırlık Süreci Stereotaktik biyopsi prosedürü öncesinde hastanın bazı hazırlıklar yapması gerekebilir:
Riskleri ve Yan Etkileri Stereotaktik biyopsi, genellikle güvenli bir prosedür olmakla birlikte, bazı riskler ve yan etkiler içerebilir:
Sonuçların Değerlendirilmesi Alınan doku örneği, patolojik inceleme için laboratuvara gönderilir. Sonuçlar genellikle birkaç gün içinde elde edilir ve doktor, hastayla bu sonuçları değerlendirmek için bir takip randevusu ayarlayabilir. Sonuçlar, tedavi planının belirlenmesinde önemli rol oynar. Sonuç Stereotaktik biyopsi, modern tıpta önemli bir tanı aracıdır. Minimal invaziv yapısı sayesinde hastaların daha az acı hissetmesini ve hızlı bir iyileşme süreci geçirmesini sağlar. Doğru uygulandığında, bu yöntem, birçok hastalık için hayati bilgiler sunabilir ve tedavi süreçlerini yönlendirebilir. Ekstra Bilgiler Stereotaktik biyopsi ile ilgili olarak, hastaların işlem öncesi ve sonrası süreçleri hakkında bilgilendirilmesi son derece önemlidir. Ayrıca, bu prosedürü uygulayan sağlık profesyonellerinin deneyimi ve uzmanlığı da sonuçların güvenilirliği açısından kritik bir rol oynamaktadır. Stereotaktik biyopsi, özellikle kanser teşhisi ve tedavi sürecinde önemli bir yere sahiptir. Gelişen teknoloji ile birlikte, bu yöntem daha da hassas hale gelmekte ve hastalara daha iyi hizmet sunulmaktadır. |




















Stereotaktik biyopsi işlemi hakkında bilgi almak istiyorum. Bu işlem sırasında ne tür bir anestezi kullanılıyor ve hasta ne kadar süre hastanede kalmak zorunda? Stereotaktik biyopsi sonrasında iyileşme süreci nasıldır?
Stereotaktik Biyopsi Nedir?
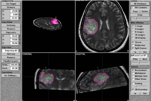
Stereotaktik biyopsi, genellikle meme veya beyin gibi vücut bölgelerindeki anormal dokuların incelenmesi amacıyla kullanılan, görüntüleme teknikleri ile rehberlik edilen bir biyopsi yöntemidir. Bu işlem, hedeflenen bölgeye doğru hassas bir şekilde iğne ile örnek almak için kullanılır.
Anestezi Türü
Stereotaktik biyopsi işlemi genellikle lokal anestezi altında yapılır. Bu, hastanın işlem sırasında uyanık kalmasını sağlar ancak işlem alanının uyuşturulması sayesinde ağrı hissedilmez. Gerektiğinde sedasyon da uygulanabilir, bu da hastanın rahatlamasına yardımcı olur.
Hastanede Kalma Süresi
Stereotaktik biyopsi genellikle poliklinik ortamında yapılır, bu nedenle hastalar genellikle aynı gün taburcu edilir. Ancak, işlem sonrası durumuna bağlı olarak hastanın hastanede kalma süresi değişebilir. Çoğu hasta, işlemin ardından birkaç saat içinde evine dönebilir.
İyileşme Süreci
İyileşme süreci genellikle hızlıdır. Hastalar, işlem sonrası hafif bir rahatsızlık hissi yaşayabilirler, ancak bu genellikle kısa sürelidir. İşlem yerinde şişlik veya morarma olabilir; bu durumlar genellikle birkaç gün içerisinde kendiliğinden geçer. Hastaların, işlem sonrası doktorun önerilerine uyması ve belirli aktivitelerden kaçınması önemlidir. Sonuçların alınması ise genellikle birkaç gün ile bir hafta içinde olur.
Eğer daha fazla sorunuz varsa, yardımcı olmaktan memnuniyet duyarım.
Stereotaktik biyopsi geçirmiş biri olarak, bu sürecin benim için ne kadar anlamlı olduğunu düşünüyorum. İşlemin minimal invaziv olması ve komplikasyon riskinin düşük olması, beni cesaretlendiren unsurlardı. Ameliyat öncesi sürecin titizlikle yürütülmesi, özellikle de stereotaktik çerçevenin takılması ve MR ile yerin belirlenmesi, bana güven verdi. Lokal anestezi altında gerçekleştirilen bu kısa süreli işlem, aslında büyük bir fark yaratacak bir tanı almak için önemliydi. Ameliyat sonrası yaşanan baş ağrısı ve rahatsızlık hissi, beklediğim bir durumdu. Ancak, iyileşme sürecinin hızlı olması ve sonuçların kısa sürede gelmesi, bu zorlu süreci daha katlanılır kıldı. Sonuçların geleceği günlerde yaşadığım gerginlik de oldukça normaldi, ama sonunda sağlığım hakkında kesin bilgiye ulaşacak olmam, bu bekleyişi anlamlı hale getirdi. Biyopsi sonrası bakımın ne kadar önemli olduğunu anladım. Başımı yüksek tutmak, doktorun önerdiği şekilde ağrı kesici almak ve kontrollerimi aksatmamak, iyileşme sürecimi hızlandırmak için dikkat ettiğim unsurlar oldu. Tüm bu deneyimler, stereotaktik biyopsinin sağladığı faydaları ve bu sürecin benim için ne kadar kritik olduğunu daha iyi anlamamı sağladı.
Değerli Bilgiye,
Yaşadığınız stereotaktik biyopsi süreci hakkında paylaştıklarınız oldukça önemli ve ilham verici. Bu tür bir işlem, gerçekten de akıllıca bir tercih ve minimal invaziv olmasının getirdiği avantajlarla birlikte, birçok kişi için cesaret verici bir deneyim sunuyor. Ameliyat öncesi sürecin titizlikle yürütülmesi, sizin gibi hastaların güven duygusunu artırıyor ve bu da tedavi sürecinin daha olumlu geçmesine yardımcı oluyor.
Ameliyat sonrası yaşadığınız baş ağrısı ve rahatsızlık hissinin normal olduğunu bilmek, süreçle başa çıkmak için önemli bir bakış açısı kazandırıyor. İyileşme sürecinin hızlı olması ve sonuçların kısa sürede gelmesi, elbetteki bu zorlu süreci daha katlanılabilir hale getiriyor. Sonuçların geleceği günlerdeki gerginlik ise, insanın doğal bir tepkisi ve sağlığınız hakkında kesin bilgiye ulaşacak olmanız bu bekleyişi anlamlı kılıyor.
Ayrıca, biyopsi sonrası bakımın önemini vurgulamanız da oldukça değerli. Doktor önerilerine uymak ve iyileşme sürecine dikkat etmek, sağlık açısından büyük bir fark yaratıyor. Tüm bu deneyimleriniz, stereotaktik biyopsinin sağladığı faydaları ve bu sürecin sizin için ne kadar kritik olduğunu daha iyi anlamanızı sağlamış gibi görünüyor. Umarım, gelecekte daha sağlıklı günler geçirirsiniz.
Sağlıklı günler dilerim.
Stereotaktik biyopsi geçirmiş bir hasta olarak, bu işlemin ne kadar önemli ve etkili olduğunu düşünmeden edemiyorum. Özellikle, beynimdeki bir kütlenin kesin tanısını öğrenmek için bu yöntemin kullanılması beni oldukça rahatlattı. Ameliyat öncesi süreçte, stereotaktik çerçeve takılması ve MR ile doğru yerin belirlenmesi oldukça dikkatli bir şekilde yapıldı. Ameliyat sırasında lokal anestezi kullanılması, sürecin daha az rahatsız edici olmasına yardımcı oldu. Tam on dakika süren bir işlem, aslında hayatımda büyük bir fark yaratacak bir tanı almak için oldukça kısa bir süre. Sonrasında yaşanan baş ağrısı ve rahatsızlık hissi, beklediğim bir durumdu ama bunun geçici olduğunu bilmek içimi rahatlattı. Stereotaktik biyopsinin minimal invaziv olması ve komplikasyon riskinin düşük olması, bu yöntemi tercih etmemdeki en büyük etkenlerden biriydi. Ameliyat sonrası bakımın ne kadar önemli olduğu konusunda dikkatli olmaya çalışıyorum. Başımı yüksek tutmak, ağrı kesicileri doktorun önerdiği gibi almak ve kontrolleri aksatmamak, iyileşme sürecimi hızlandıracak gibi görünüyor. Sonuçların iki-üç gün içinde geleceği bilgisi, beni biraz gerse de, bu sürecin sonunda sağlığım hakkında doğru bilgiye ulaşmak için sabırlı olmam gerektiğini biliyorum. Stereotaktik biyopsi, beynimdeki hastalıklı bölgeden doğru örnek alarak doğru bir tanı koyma şansını artırdı ve bu süreçteki deneyimlerim benim için oldukça kıymetli.
Sayın Dilaver,
Stereotaktik biyopsi sürecinizin sizin için önemli ve rahatlatıcı bir deneyim olduğunu duymak sevindirici. Bu tür bir işlem, kesin tanı koyma aşamasında çok kritik bir rol oynuyor ve beyninizdeki kütlenin değerlendirilmesi açısından büyük bir adım. Minimal invazivlik ve düşük komplikasyon riski, hastalar için sıkça tercih edilen bir yöntem olmasının en önemli sebeplerinden biri. Sizin de belirttiğiniz gibi, işlem sırasında lokal anestezi kullanılması, süreçteki rahatsızlık hissini minimize ediyor.
Ameliyat sonrası bakımın önemine dikkat etmeniz ise iyileşme sürecinizi hızlandırmak açısından oldukça yerinde bir yaklaşım. Kontrolleri aksatmamak ve doktorunuzun önerilerine uymak, sağlığınız açısından büyük fayda sağlayacaktır. Sonuçların gelmesi sürecindeki belirsizlik ise çoğu hasta için zorlayıcı olabilir; ancak sabırlı olmak, doğru bilgilere ulaşmanızda size yardımcı olacaktır.
Stereotaktik biyopsi ile edindiğiniz deneyimlerin, hem fiziksel hem de mental olarak sağlığınıza katkı sağlayacağına inanıyorum. Geçmiş olsun dileklerimle, sağlık ve huzur dolu günler dilerim.