Beyin Biyopsisi Nasıl Yapılır?
Beyin biyopsisi, beyin dokusunun incelenmesi amacıyla yapılan bir işlemdir. Tümörler, enfeksiyonlar ve diğer nörolojik hastalıkların teşhisinde önemli rol oynar. İki ana türü bulunur: açık ve perkütan biyopsi. Her iki yöntemin de kendine özgü avantajları ve riskleri vardır.
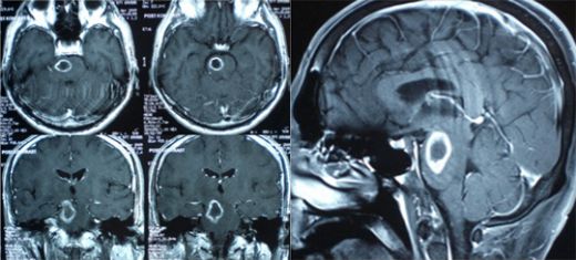
Beyin Biyopsisi Nedir?Beyin biyopsisi, beyin dokusunun bir parçasının alınarak laboratuvar ortamında incelenmesi işlemidir. Bu işlem, çeşitli beyin hastalıklarının tanısını koymak, hastalığın seyrini değerlendirmek veya tedaviye yönelik bilgi sağlamak amacıyla yapılır. Beyin biyopsisi, genellikle tümörler, enfeksiyonlar, iltihabi hastalıklar ve diğer nörolojik rahatsızlıkların değerlendirilmesinde kritik bir rol oynamaktadır. Beyin Biyopsisi Türleri Beyin biyopsileri, genel olarak iki ana kategoriye ayrılır:
Her iki tür, farklı durumlar ve hastalıklar için uygun olabilmektedir. Açık biyopsi, genellikle cerrahi müdahale gerektiren durumlarda yapılırken, perkütan biyopsi, daha az invaziv bir yöntem olarak tercih edilmektedir. Beyin biyopsisi süreci, birkaç aşamadan oluşur:
Beyin Biyopsisinin Riskleri ve Yan Etkileri Beyin biyopsisi, bazı riskler taşıyan bir prosedürdür. Bu riskler arasında:
Bu riskler, özellikle açık biyopsi durumunda daha belirgin hale gelebilmektedir. Ancak, uzman bir ekip tarafından gerçekleştirilen biyopsi işlemleri genellikle güvenli bir şekilde yapılmaktadır. Biyopsi Sonrası Süreç Biyopsi sonrası süreç, hastanın durumuna göre değişiklik göstermektedir. Alınan doku örneği, patolojik inceleme için laboratuvara gönderilir ve sonuçlar genellikle birkaç gün içinde çıkar. Bu sonuçlar, hastanın tedavi planının belirlenmesinde önemli bir rol oynamaktadır. Sonuç Beyin biyopsisi, beyin hastalıklarının tanısında ve tedavi sürecinde önemli bir araçtır. Her ne kadar riskleri bulunsa da, uzman hekimler tarafından gerçekleştirilen bu işlemler genellikle başarılı bir şekilde tamamlanmakta ve hastalara doğru tanı koyma imkanı sunmaktadır. Biyopsi sonuçları, hastaların tedavi süreçlerini yönlendirmek için kritik bir öneme sahiptir. Beyin biyopsisi hakkında daha fazla bilgi almak ve bu süreçte dikkat edilmesi gerekenler hakkında detaylı bilgi edinmek için bir nöroloji uzmanı ile görüşmek önemlidir. |




















Beyin biyopsisi süreci hakkında bilgi edinmek oldukça önemli. Bu işlem sırasında hangi aşamaların geçtiğini ve hangi risklerin bulunduğunu bilmek, hastalar için çok değerli olabilir. Özellikle stereotaktik cerrahinin avantajları dikkate alındığında, daha az invaziv bir yaklaşımın benimsenmesi önemli bir gelişme. Ancak, kanama ve enfeksiyon gibi riskler her zaman endişe verici. Bu tür bir prosedür geçiren birinin bu süreci nasıl deneyimlediğini merak ediyorum. Acaba hastalar, işlemin ardından kendilerini nasıl hissediyorlar, iyileşme süreçleri nasıl ilerliyor?
Berkin,
Bein Biyopsisi Süreci hakkında bilgi edinmek gerçekten önemli bir konu. Bu işlem, genellikle belirli bir beyin lezyonunu değerlendirmek amacıyla yapılır. İşlem öncesinde hastaların detaylı bir muayene ve görüntüleme yöntemleri ile değerlendirilmeleri gerekiyor. Stereotaktik cerrahi yöntemi, bu süreçte daha az invaziv bir yaklaşım sunarak hassas bir şekilde örnek almayı sağlıyor.
Riskler konusunda, kanama ve enfeksiyon gibi komplikasyonlar her zaman göz önünde bulundurulmalı. Ancak, bu tür riskler genellikle düşük seviyededir ve tıbbi ekip tarafından titizlikle izlenir.
Hastaların Deneyimleri ise kişiden kişiye değişiklik gösterebilir. Bazı hastalar, işlem sonrasında hafif bir baş ağrısı veya yorgunluk hissi yaşayabilirken, çoğu kişi birkaç gün içinde normal aktivitelerine dönebilir. İyileşme süreci genellikle hızlıdır fakat bireysel sağlık durumu, yaş ve işlem sonrası bakım gibi faktörler bu süreci etkileyebilir.
Sonuç olarak, beyin biyopsisi hakkında daha fazla bilgi edinmek ve deneyim paylaşmak, bu süreci geçirenler için oldukça faydalı olabilir. Eğer bu konuda daha fazla sorunuz varsa, yardımcı olmaktan memnuniyet duyarım.